今天要跟大家談的是「高血壓」

🧐 疑?一個泌尿科醫師談什麼高血壓?真懂還假懂呀?
👉其實某些高血壓可是泌尿方面所引起的喔!

🗣這天門診轉來一位年輕約40歲的病人,剛出院,住院原因是在家暈倒,送到急診的時候血壓高達170/110mmHg,抽血檢查,嗯~血糖正常,白血球正常,心肌酵素正常⋯
疑!電解質嚴重異常,鉀離子居然只有2.2mmol/L(標準值應該在3.5到5.0之間)!住院調理後,鉀離子終於升到3. 0以上,血壓呢?在多種的降壓藥之下勉強壓在140/80mmHg⋯
✅高血壓可以分為兩大類:
1️⃣ 原發性(或稱本態性)高血壓
2️⃣ 次發性高血壓
原發性高血壓佔了絕大多數,這方面請找內科治療⋯
😑😑😑不是自稱泌尿科也會嗎?
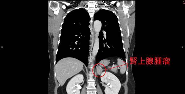
🗣繼續看看次發性高血壓,發生原因可多了,甲狀腺疾患、腎實質病變、庫欣氏症候群、原發性高醛固酮症、嗜鉻性細胞瘤等,後面這三項就是在泌尿科相當重要的疾病,而且發生原因常是「腎上腺腫瘤」。
✅ 腎上腺位在人體的深處,幾乎是正中央,一般的超音波能看到的機會少之又少,所以診斷也相當的困難,常常是因為難以控制的高血壓,才會進一步的去查是否有腎上腺腫瘤的可能性,也或者是其他原因安排電腦斷層而意外發現的。

✅ 絕大多數的腎上腺腫瘤定期追蹤即可,除非下面兩種情形:
第一,像上面這種會分泌奇奇怪怪的東西導致高血壓的或其他症狀的。
第二,懷疑是惡性的,像很大顆或長很快的。
這兩種就比較建議做腎上腺切除手術,但腎上腺很深,傳統上要開一個相當大的傷口才能處理的到,現在因為腹腔鏡的發展,我們只需要打幾個小洞,將器械伸進去處理即可,恢復時間大幅縮短。



💁🏻♂️ 上面這位病人後來查出是腎上腺腫瘤所引發的「原發性高醛固酮症」,就是經由腹腔鏡腎上腺切除後,隔天的電解質立刻回復到正常了,而且目前也不再需要吃降血壓藥了!
💖 最後,Dr.闕 還是要提醒各位! 身體若有不舒服請找合格的醫師儘快治療才是。

🔴 Dr.闕來解答-大同醫院泌尿科醫師闕光瞬 🔴
留言列表

